Urazy stopy i stawu skokowego w surfingu, windsurfingu, kitesurfingu: przegląd badań i literatury

Sporty surfingowe zajmują jedno z najwyższych miejsc pod względem częstości występowania urazów stóp i stawu skokowego. Autor artykułu analizuje etiologię i charakter tych kontuzji oraz ich leczenie. Z kolei przegląd literatury dostarcza naukowej podstawy do dokonywanych przemyśleń i podsumowań.
Article Image

Surfing na falach, windsurfing i kitesurfing to sporty wodne uprawiane przez osoby ze wszystkich grup wiekowych. Często potocznie nazywane są one "sportami na desce", ponieważ podczas tych aktywności sportowiec stoi na jednej desce. Mięśnie górnej części ciała są wtedy intensywnie wykorzystywane i potrzebują dużej mocy, dlatego uwaga dotycząca przeciążenia lub kontuzji zwykle nie skupia się na urazach stopy i stawu skokowego. Jednak urazy te występują znacznie częściej, niż można by się tego spodziewać. Obszary surfingowe to wybrzeża wystawione na działanie fal morskich, które dają możliwość ślizgania się po nich na desce.

Obszary do kitesurfingu i windsurfingu to wybrzeża mórz i jezior na całym świecie, ze stałymi i silnymi wiatrami. Zawody, profesjonalne zmagania o zdobycie pucharu, który jest fundowany przez sponsorów i wiąże się także ze zdobyciem nagrody pieniężnej, powoduje coraz większe zainteresowanie wymienionymi dyscyplinami sportu. Efektem tego jest duża rywalizacja i wysoka motywacja wśród zawodników, przekraczająca nieraz granice zdrowego rozsądku, co przyczynia się do powstawania obrażeń i urazów. Włączenie wave surfingu do programu letnich igrzysk olimpijskich jeszcze bardziej podniesie poziom rozgrywek. Nagrody za okiełznanie największych fal, skoki wzwyż w kitesurfingu czy uprawianie windsurfingu na falach sztormowych to przykłady, do jakich skrajności są zdolni zdeterminowani sportowcy. Poza profesjonalnymi zawodami większość tych sprawiających dużo radości sportów uprawiana jest rekreacyjnie przez miliony kobiet i mężczyzn, dziewcząt i chłopców, w zdecydowanie mniej ekstremalnych warunkach.

Urazy a windsurfing, kitesurfing

Chociaż wymienione dyscypliny zaliczają się do sportów wodnych, kontuzje stóp i stawów skokowych są najczęstszymi urazami, jakich doznają sportowcy uprawiający windsurfing i kitesurfing. Jako lekarz zespołu na zawodach World Pro Tour w Kitesurfingu i Windsurfingu w Austrii od 2000 roku mam wieloletnie doświadczenie z kontuzjami odnoszonymi w obu tych dyscyplinach. Od 2000 roku w każdym sezonie badaliśmy zawodników ze światowej czołówki i analizowaliśmy te badania.

Skręcenia stawów skokowych były częste. Rany skóry, zwłaszcza na stopach, także są powszechne, a stopy sportowców są zwykle pokryte bliznami. Ograniczony zakres ruchu w stawie skokowym i skokowym dolnym jest częstym zjawiskiem, szczególnie u sportowców uprawiających windsurfing w stylu wolnym. W surfingu na falach po urazach stawów skokowych i stóp najczęstsze są urazy głowy.

Sporty wodne

Ryc. 1. Paski utrzymujące stopy są niezbędne do kontrolowania deski w skokach rotacyjnych w stylu dowolnym.

Urazy w sportach wodnych - etiologia i patomechanizm 

Dlaczego sporty wodne powodują tak dużą liczbę urazów stóp i stawów skokowych? W sportach surfingowych zawodnicy mają zwykle bose stopy, ze względu na lepszą percepcję dotyku na desce. Buty neoprenowe są używane w zimnej wodzie do ochrony przed zimnem. Przyczynami skaleczeń i uszkodzeń skóry – najczęstszych urazów stóp w sportach na deskach – są również ostre skały, muszle, jeżowce, trujące ryby, a także zanieczyszczenie mórz i plaż. Własna deska surfingowa, a zwłaszcza jej elementy konstrukcyjne, którymi są płetwy z włókna szklanego lub węglowego, stanowią drugą pod względem częstości przyczynę obrażeń. Otwarte rany wymagają 1–2 tygodni do prawidłowego wygojenia. Sportowcy chcą jednak jak najszybciej wrócić do wody. Dlatego rany pozostają ciągle mokre, są narażone na promieniowanie UV i kontakt z bakteriami. Infekcje głębokich ran mogą stanowić zagrożenie dla życia, szczególnie w regionach tropikalnych i po kontakcie z rafą koralową.

Paski utrzymujące stopy są używane w windsurfingu i kitesurfingu do kontroli deski. Kontuzje pojawiają się, jeśli stopa zostanie zakleszczona przez pasek i nie zostanie oswobodzona podczas upadku. Rotacja w połączeniu z przeprostem lub nadmiernym zgięciem mogą powodować urazy więzadeł, złamania i zwichnięcia, zwłaszcza w okolicy stawu stępowo-śródstopnego. Te obrażenia są podobne do urazów opisanych przez Jacques’a Lisfranca w XIX wieku. Zaobserwował on zwichnięcia konkretnych stawów stopy u jeźdźców spadających z konia i zakleszczonych w strzemieniu. Jeśli używane są szerokie paski na stopy lub wiązania typu wakeboard – w wakestyle kitesurfingu – stopa ma lepszą stabilność, ponieważ jest utrzymywana przez pasek, jednak jej wysunięcie się z wiązania staje się trudniejsze. A to ma zasadnicze znaczenie dla powstania urazu stawu skokowego górnego lub dolnego, co staje się wówczas bardzo prawdopodobne. Urazy więzadeł stawu skokowego – zarówno przyśrodkowe, jak i boczne – mogą powodować przewlekłą niestabilność tego stawu. Należy zachować szczególną czujność przy złamaniach kompresyjnych stawu skokowego i urazach rotacyjnych kończyny dolnej. Złamania szyjki kości skokowej i złamania okolicy podskokowej, zwłaszcza złamania wyrostka bocznego kości skokowej, zwanego "kostką snowboardzisty", są często przeoczane przy analizie zwykłego zdjęcia rentgenowskiego w płaszczyźnie przednio-tylnej i bocznej.

Głównymi przyczynami urazów stóp i stawów skokowych wśród uprawiających te sporty są: uderzenia deską, przeszkody w wodzie znajdujące się blisko plaży oraz zamocowanie stóp w paskach i wiązaniach wykorzystywanego przez sportowca sprzętu.

Skoki i upadki są normalne w omawianych dyscyplinach sportowych, a większość kontuzji występuje przy lądowaniu deski po skokach wzwyż w wodzie. Kitesurfing stwarza szczególne zagrożenie, ponieważ start i lądowanie latawca to manewry bardzo szybkie – w krótkim okresie czasu ciało sportowca poddawane jest oddziaływaniu dużej i zmiennej siły, co wiąże się z najwyższym ryzykiem urazu. Uniesienie się w powietrze na lądzie bez odpięcia się od latawca jest momentem krytycznym o kluczowym znaczeniu. Ostatnie doniesienia wykazują rosnącą liczbę urazów śródstopia i stawu Lisfranca także w surfingu. Twarde lądowanie na desce może powodować złamania i obrażenia nawet bez użycia wiązań stabilizujących stopy (ryc. 1–8).

Paski stabilizujące stopy używane w kitesurfingu i windsurfingu

Ryc. 2. Paski stabilizujące stopy używane w kitesurfingu i windsurfingu.

Rana cięta na bocznej części okolicy kości piętowej, powodująca uszkodzenie nerwu łydkowego.

Ryc. 3. Rana cięta na bocznej części okolicy kości piętowej, powodująca uszkodzenie nerwu łydkowego. Przyczyną była ostra płetwa deski surfingowej.

Urazy stopy i stawu skokowego w sportach wodnych a epidemilogia

Epidemiologia w odniesieniu do kitesurfingu

Moje osobiste doświadczenia5 pokazały, że wskaźnik urazów nie zmienił się w ciągu ostatnich 14 lat. W zespole profesjonalnych sportowców, którym się opiekuję, zaobserwowałem 16% urazów stóp i stawów skokowych, czyli niemal tyle samo, co urazów barków, których odnotowaliśmy 17%. W stosunkowo aktualnym przeglądzie literatury z 2015 roku, analizującym urazy w kitesurfingu, Bourgois1 stwierdził, że 45–70% wszystkich urazów dotyczyło kończyn dolnych. Staw skokowy (64%; p <0,01) był obszarem kończyn dolnych najbardziej narażonym na uraz. Na następnym miejscu znalazła się stopa (14%).

Zranienia związane z kontaktem z rafą koralową i innego rodzaju otwarte rany mogą być przyczyną niebezpiecznych infekcji, szczególnie w wodach tropikalnych.

Najczęstszymi urazami podczas uprawiania kitesurfingu były: 

  • skręcenie stawu (do 40%)
  • stłuczenie (do 34%)
  • otarcie (do 28%)
  • uszkodzenie mięśni/ścięgien (do 18%) 
  • rany szarpane i cięte (do 17%)
  • złamania (od 3% do 11%).

Blizny na stopie surfera

Ryc. 4. Blizny na stopie surfera. Woda, słońce i tarcie wiązania często powodują przewlekłe rany stopy.

Epidemiologia w odniesieniu do windsurfingu

Moje własne doświadczenia6,7 z zawodowymi windsurferami wykazały 38% urazów kończyn dolnych. Dominującym urazem były skaleczenia i rany szarpane. Jednak w ostatnich latach windsurfing w stylu wolnym rozwinął się w kierunku spektakularnych skoków z rotacjami – stopa musi być wtedy głęboko osadzona i ustabilizowana paskami, aby podczas tego rodzaju skoków nie zgubić deski. W związku z tym wzrosła częstość urazów więzadeł stawu skokowego. Prymka8 przeprowadził badania kwestionariuszowe wśród 44 półprofesjonalnych zawodników windsurfingu – najczęstszymi kontuzjami były rozerwania więzadeł podudzia (33%).

Kitesurfer ze złamaniem i zwichnięciem końca bliższego drugiej kości śródstopia po otwartym nastawieniu ze stabilizacją wewnętrzną (ORIF).

Ryc. 5. Kitesurfer ze złamaniem i zwichnięciem końca bliższego drugiej kości śródstopia po otwartym nastawieniu ze stabilizacją wewnętrzną (ORIF). Zdjęcie rentgenowskie w projekcji bocznej wykonane w pozycji stojącej.

Ryzyko kontuzji a surfing

Spośród omawianych tu dyscyplin najszybciej rośnie liczba osób uprawiających surfing. Furness2 określił w 2015 roku szacunkową liczbę surferów na całym świecie na 37 milionów. Na podstawie dużego badania internetowego obliczono odsetek urazowości, który wynosi 1,79 poważnych obrażeń na 1000 godzin surfowania. Oprócz naturalnych fal morskich miłośnicy surfingu coraz częściej wykorzystują baseny ze sztucznymi falami. Nominacja tej dyscypliny jako sportu olimpijskiego na nadchodzących igrzyskach przyczyniła się do zwiększonego zainteresowania nim na poziomie profesjonalnym, w warunkach zorganizowanych.

Hohn3 dokonał przeglądu dokumentacji medycznej profesjonalnych surferów z jednego ośrodka ortopedycznego, zgromadzonej w latach 1991–2016. Spośród 163 urazów u 86 sportowców najczęstszymi kontuzjami były urazy kolana (28,2%), stawu skokowego (22,1%) i barku (19%). Z kolei Furness2 stwierdził, że najczęstszymi lokalizacjami ostrych urazów były: bark (16,4%), staw skokowy (14,6%) oraz głowa i twarz (13,3%).

Kluczowe czynniki zwiększające ryzyko doznania ostrej kontuzji podczas surfingu to:

  • przygotowywanie się do zawodów lub uczestnictwo w nich (stan rywalizacji),
  • liczba godzin uprawiania surfingu (powyżej 6,5 tygodniowo)
  • zdolność do wykonywania manewrów w powietrzu.

Inada4 stwierdził, że współczynnik urazów wynosi 6,6 na 1000 godzin surfingu wyczynowego. Spośród 65 urazów zawodowych surferów najczęściej kontuzjowane były kolano (35%) oraz stopa i staw skokowy (40%). Lądowanie na desce podczas manewrów wykonywanych w powietrzu wiązało się z dużym ryzykiem urazów. Woodacre9 przeanalizował obrażenia związane z uprawianiem surfingu na falach. Najczęściej dochodziło do urazów głowy (24%), a w następnej kolejności stawu skokowego (19%) i kolanowego (13%). Surferzy najczęściej ulegali urazom, których źródłem były ich własne deski (31%).

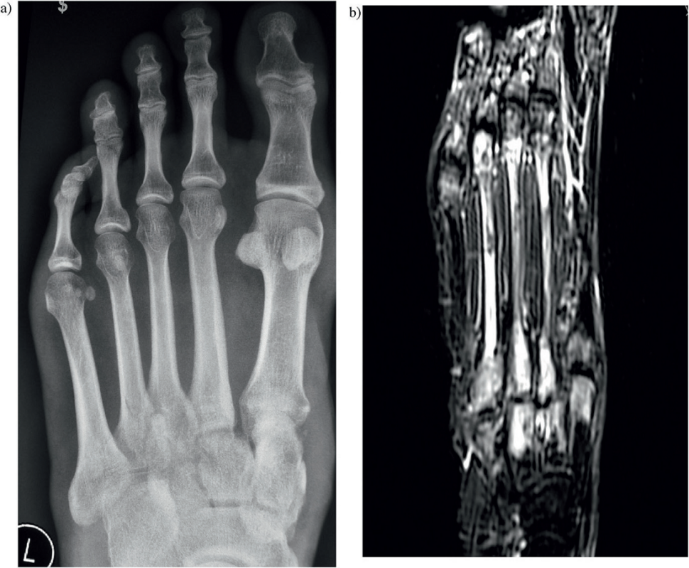
Złamanie stawu Lisfranca z bocznym zwichnięciem drugiej kości śródstopia w stosunku do kości klinowatej pośredniej i rezonans magnetyczny uszkodzonej stopy pokazujący stłuczenie wszystkich okolicznych kości

Ryc. 6a. Złamanie stawu Lisfranca z bocznym zwichnięciem drugiej kości śródstopia w stosunku do kości klinowatej pośredniej (3 mm). b. Rezonans magnetyczny uszkodzonej stopy pokazujący stłuczenie (bone bruise) wszystkich okolicznych kości.

Leczenie kontuzji stopy i stawu skokowego

Otwarte rany cięte wymagają starannego oczyszczenia i usunięcia ciał obcych. Szczególnie w regionach tropikalnych oczyszczanie, dezynfekcję i zakładanie świeżego opatrunku należy powtarzać każdego dnia. Konieczne jest zwracanie uwagi na objawy ewentualnej infekcji.

Urazy stawu Lisfranca, więzadeł i kości śródstopia często ulegają przeoczeniu w normalnym badaniu RTG. Zaleca się dokładne zbadanie śródstopia, jeśli pacjent zgłasza w wywiadzie uraz podczas stabilizacji stopy przez wiązanie.

Urazy śródstopia mogą powodować bolesną przewlekłą niestabilność i zapalenie stawów. Uszkodzenia stawu Lisfranca i urazy stawu skokowo-piętowego należy wykluczyć po upadku ze stopą zakleszczoną w wiązaniu deski.

Badanie za pomocą tomografii komputerowej lub rezonansu magnetycznego jest wskazane w przypadku wątpliwości diagnostycznych. Zwichnięcie stawu oraz złamanie stawu Lisfranca często wymaga rekonstrukcji chirurgicznej. Urazy stawu skokowego górnego mogą zaburzać funkcjonowanie stawu skokowego dolnego. Należy zwrócić uwagę na rotacyjne i kompresyjne rodzaje urazów. Złamania okolicy podskokowej lub szyjki kości skokowej mogą wymagać rekonstrukcji chirurgicznej.

Urazy więzozrostu wymagają odpoczynku przez 6 tygodni. Proste urazy więzadeł bocznych stawu skokowego należy ustabilizować za pomocą ortez. Należy przy tym zwrócić uwagę, że większość ortez stawu skokowego nie sprawdza się w środowisku wodnym. Klasyczny tape sztywny oraz kinezjotaping odklejają się w wodzie w ciągu kilku minut. Wodoodporna taśma izolacyjna (waterproof duck tape) jest często jedynym rozwiązaniem pozwalającym na surfowanie po skręceniu stawu skokowego.

Złamanie śródstopia

Ryc. 7a. Złamanie śródstopia, do którego doszło podczas zawodów surfingowych; źródło: Instagram. b. Złamanie po otwartym nastawieniu ze stabilizacją wewnętrzną (ORIF); źródło: Instagram.

Rehabilitacja i powrót do sportów wodnych

Surferzy, zwłaszcza profesjonaliści, chcą jak najszybciej wrócić do wody. Dlatego należy dążyć do doskonalenia i optymalizacji protokołów rehabilitacyjnych. Ćwiczenia równoważne można wykonywać na deskach SUP. Po skręceniu stawu skokowego w kitesurfingu deski bez wiązań mogą być alternatywą godną rozważenia. Tym niemniej złamania stawu Lisfranca, podskokowe i stawu skokowego wymagają długich okresów regeneracji.

Urazy stopy i stawu skokowego w  sportach wodnych - podsumowanie

Sporty surfingowe często powodują urazy stopy i stawu skokowego. Skaleczenia i otwarte rany należy dezynfekować, dobrze opatrywać i dbać o ich odpowiednią higienę, aby uniknąć głębokich infekcji.

Uszkodzenia stawu Lisfranca mogą występować w przypadku ustabilizowania stopy przez wiązania lub paski oraz przy twardych lądowaniach. Należy je wykryć i skutecznie leczyć. Urazy kostki i stawu skokowo-piętowego mogą obejmować złamania stawu w obrębie stawu skokowego górnego, dolnego, szyjki kości skokowej i tak zwanej kostki snowboardzisty.

Staw skokowy windsurfera

Ryc. 8. Staw skokowy windsurfera jest chroniony ortezą założoną po urazie więzadła. Wodoszczelna taśma pozwala na jej zastosowanie w sportach wodnych. Zwykłe taśmy często się odklejają pod wpływem wody.

Źródło: „Sports Orthopaedics and Traumatology” (Volume 34, Issue 3, September 2018, pages 265–270 ), Wyd. ELSEVIER. Dziękujemy za zgodę na tłumaczenie i przedruk artykułu.

Bibliografia
  • J.G. Bourgois, J. Boone, M. Callewaert, M.J. Tipton, I.B. Tallir, Biomechanical and physiological demands of kitesurfing and epidemiology of injury among kitesurfers, Sports Med. 44 (1) (2014) 55–66.
  • J. Furness, W. Hing, J. Walsh, A. Abbott, J.M. Sheppard, M. Climstein, Acute injuries in recreational and competitive surfers: incidence, severity, location, type, and mechanism, Am. J. Sports Med. 43 (5) (2015) 1246–1254.
  • E. Hohn, S. Robinson, J. Merriman, R. Parrish, W. Kramer, Orthopedic injuries in professional surfers: a retrospective study at a single orthopedic center, Clin. J. Sport Med. (2018).
  • K. Inada, Y. Matsumoto, T. Kihara, N. Tsuji, M. Netsu, S. Kanari, K. Yakame, S. Arima, Acute injuries and chronic disorders in competitive surfing, Sportorthopädie Sporttraumatol. (2018).
  • K. Kristen, S. Syre, M. Humenberger, Kitesurfing – injuries and sports medical aspects, Deutscher Ärzte-Verlag OUP 3 (6) (2014) 306–311.
  • A. Kröner, K.H. Kristen, M.V. Wlk, A. Engel, Windsurf injuries (Verletzungen beim Windsurfen). Österr, J. Sportmed. 2 (2002) 27–32.
  • K. Kristen, S. Syre, A. Kröner, Windsurfing – sports medical aspects, Sportorthopädie Sporttraumatol. 23 (2007) 98–104.
  • M. Prymka, G.M. Plötz, J. Jerosch, Injury mechanisms in windsurfing regatta, Sportverletz. Sportschaden. 13 (4) (1999) 107–111.
  • T. Woodacre, S.E. Waydia, S. Wienand – Barnett, Aetiology of injuries and the need for protective equipment for surfers in the UK, Injury (2014).
AUTOR
Udostępnij
Oferty
Zobacz więcej
UK Logo
Serwis przeznaczony jest wyłącznie dla profesjonalistów
Dostęp do treści jest możliwy wyłącznie dla osób wykonujących zawód medyczny lub prowadzących obrót wyrobami medycznymi. Jeśli jesteś profesjonalistą, kliknij przycisk “Potwierdzam”, aby zapoznać się z treścią strony.
Nie potwierdzam
Potwierdzam
Przepraszamy, ale nasz serwis jest przeznaczony wyłącznie dla profesjonalistów zgodnie z obowiązującymi przepisami prawa. Zapraszamy na stronę Ktociewyleczy.pl